Diseño de Sonrisa en Chile – Precio, Procedimiento y Resultados Naturales
Una sonrisa renovada no es solo estética: es confianza. En nuestra clínica en Santiago te ayudamos a lograrla con un enfoque conservador, tradicionalmente respaldado por la experiencia, y orientado al futuro de la odontología estética.
cotizar aquí


¿Qué es el diseño de sonrisa y en qué consiste?
El diseño de sonrisa es un plan estético personalizado que analiza tus facciones, proporciones dentales y características faciales para crear una sonrisa equilibrada.
Sonríe con confianza: el cambio que estabas esperando comienza hoy
Tu sonrisa dice mucho de ti… asegúrate de que diga lo mejor. Agenda tu evaluación estética en nuestra clínica en Santiago Centro.
Agendar cita
Beneficios del diseño de sonrisa
-
Mejora inmediata de la estética dental y facial
-
Aumenta la confianza y seguridad personal
-
Resultados naturales y proporcionales al rostro
-
Posibilidad de simular el resultado digitalmente antes de comenzar
-
Procedimiento rápido, mínimamente invasivo y seguro
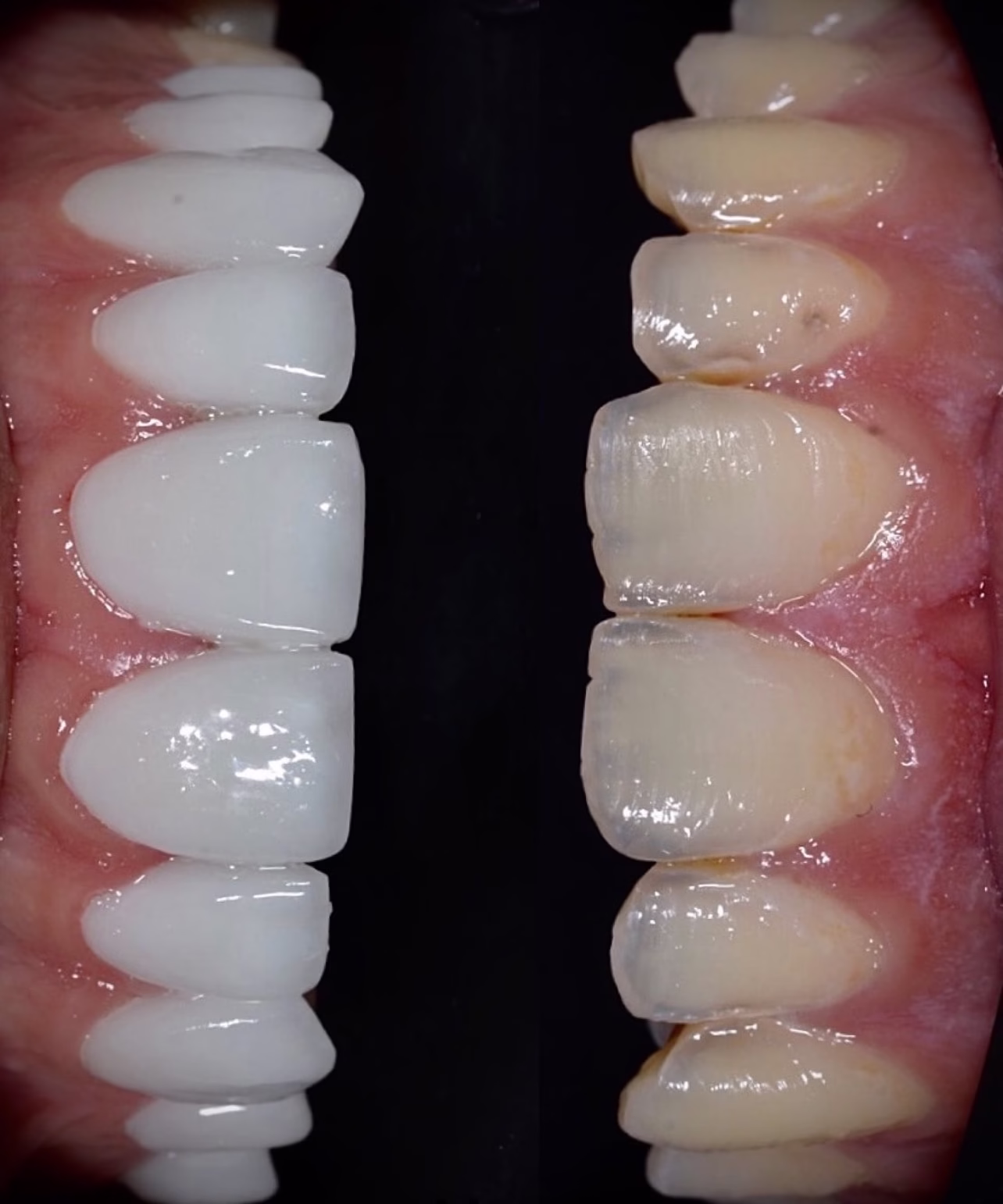
El poder de una sonrisa bien diseñada
Una sonrisa bonita no es solo estética: comunica salud, confianza y armonía.
Nuestro enfoque va más allá de los dientes: analizamos tus facciones, labios y encías para lograr un resultado completamente natural.
Diseño de sonrisa precio Chile
| Tipo de tratamiento | Precio aproximado (CLP) | Descripción |
|---|---|---|
| Diseño de sonrisa con resina | $250.000 – $450.000 | Rápido y económico, mejora color y forma. (Involucra entre 8 a 10 piezas dentales) |
| Diseño con carillas de porcelana | $1.000.000 – $2.500.000 | Alta durabilidad y estética superior. (Involucra entre 8 a 10 piezas dentales) |
| Diseño digital completo | Desde $2.000.000 | Planificación 3D personalizada. (Involucra entre 14 a 28 piezas dentales) |
Descubre los tipos de diseño de sonrisa y cuál es ideal para ti
Conoce la diferencia entre carillas en resina y porcelana antes de decidir, Solicita tu cita de evaluación al whatsapp con nuestro dentista especialista en carillas dentales certificado en Chile.
agendar cita
FAQ: Preguntas Frecuentes sobre Diseño de Sonrisa
¿Qué diferencia hay entre un diseño de sonrisa y un blanqueamiento dental?
El blanqueamiento mejora solo el color de los dientes, mientras que el diseño de sonrisa busca una transformación completa que incluye forma, tamaño, alineación y color.
¿Cuánto cuesta un diseño de sonrisa completo en Chile?
El precio promedio de un diseño integral ronda entre $490.000 y $1.200.000, dependiendo del número de dientes, tipo de material (resina o porcelana) y la necesidad de tratamientos previos.
¿Cuánto tiempo tarda el tratamiento?
Depende del tipo de diseño:
-
Diseño digital o blanqueamiento: 1 a 2 sesiones.
-
Carillas en resina: 1 día.
-
Carillas de porcelana o diseño completo: entre 1 y 3 semanas.
¿El diseño de sonrisa duele?
No. Son procedimientos mínimamente invasivos y completamente indoloros. En caso de carillas o contorneado gingival, se utiliza anestesia local y técnicas digitales que garantizan comodidad.
¿Cuánto duran los resultados?
Con una buena higiene y controles regulares, las carillas de resina duran entre 5 a 7 años, y las de porcelana pueden superar los 10 años.
¿Se requiere algún mantenimiento especial?
Sí, se recomienda:
-
No morder objetos duros (hielos, tapas, etc.).
-
Usar férula nocturna si hay bruxismo.
-
Controles anuales para pulido y revisión.
